Smile Gallery
Please take a look at examples of Dr. Paul's dental treatments.
Teeth Whitening









Invisalign Orthodontic Treatment














Ceramic Restorations
Veneers



Crown

Full Upper Jaw Rehabilitation With Bridges

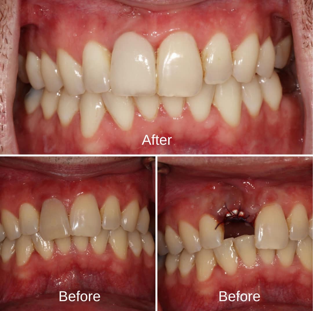
Dental Implants





Computer Guided Dental Implant Placement


Composite Bonding


