Smile Gallery
Please take a look at examples of Dr. Paul's dental treatments.
Teeth Whitening









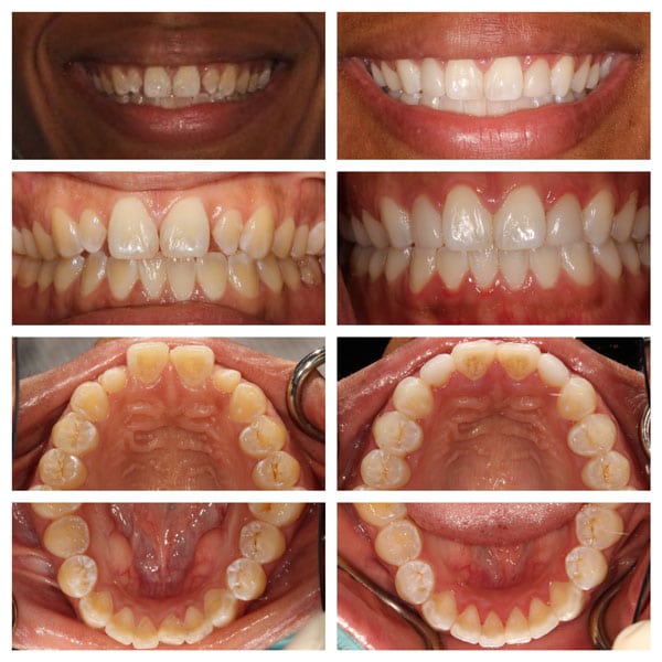
Invisalign Orthodontic Treatment














Ceramic Restorations
Veneers



Crown

Full Upper Jaw Rehabilitation With Bridges

Dental Implants





Computer Guided Dental Implant Placement


Composite Bonding


